부산영도임플란트 긍정적인 변화를 원한다면?

100세 시대를 도래하면서 건강한 노후를 위해 구강건강에 대한 관심도 높아지고 있습니다. 치아는 음식물을 먹고 소화하는 데 중요한 역할을 하기 때문에 건강한 치아를 유지하는 것은 매우 중요합니다. 그러나 치아는 한 번 손상되면 자연 회복이 어렵기 때문에 꾸준한 관리가 필요합니다.
나이가 들면서 노화로 인해 치아에 문제가 발생하거나 외상, 충치, 치주 질환 등의 다양한 이유로 치아 손상이 발생할 수 있는데요. 이로 인해 치아를 잃게 되면 소화에 문제가 생길 수 있고 인접한 치아들이 이동하여 치열이 변형되거나 얼굴 형태가 변할 수 있습니다.

부산영도임플란트는 치아를 잃은 경우에 치아의 기능을 대체할 수 있는 치료 방법 중 하나입니다. 이 방법은 잇몸뼈에 구조물을 직접 심어 치아를 대신하는 것입니다.
임플란트는 세 가지 부분으로 구성됩니다. 첫째로, 치아의 뿌리 역할을 하는 인공 치근이 있습니다. 둘째로, 인공 치근과 보철물을 연결하는 중간 기둥 역할을 하는 지대주가 있습니다. 마지막으로, 최종 보철물로서 치아 모양을 가진 부분이 있습니다.
임플란트는 기존의 틀니나 브릿지 치료에 비해 더 복잡한 시술이 필요하기 때문에, 수술을 수행하는 의료진에 따라 결과가 달라질 수 있습니다. 따라서 상실된 치아가 있다면 적절한 시기에 경험이 풍부한 치과를 선택하는 것이 중요합니다.

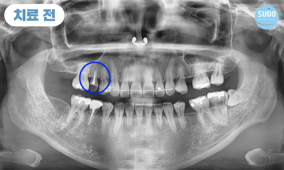
위 환자분은 30대 초반 여성분으로, 고등학생일 때 치료 받았던 금니가 빠져 저희 수도치과에 내원해 주셨습니다.

그 부분만을 확대하여 x-ray 사진 촬영해 본 결과 치아 뿌리 안쪽까지 심한 충치로 인해 발치 후 임플란트를 진행하셔야 하는 상태였습니다. 임플란트 경험이 없으셨던 환자분을 위해 수도치과 의료진들의 충분한 치료 설명을 통해 발치 후 부산영도임플란트 식립 계획을 수립하였습니다.

처음 내원하셨을 때는 외국 거주 중이셨고, 열흘 후에 출국 예정이셨습니다. 이에 따라 내원 당일에 발치 후 즉시 임플란트를 식립하셨고, 주변 치아의 이동을 예방하기 위해 유지 철사를 부착한 후 다시 출국하셨습니다.
임플란트의 식립 가능 여부는 의료진의 의견에 따라 결정되며, 본원에서는 임플란트의 성공률을 높이기 위해 잇몸뼈가 약할 경우 일정 기간을 두거나 발치 당일에 뼈이식을 진행하기도 합니다.


임플란트를 식립한 후 11월에 다시 한국을 방문하셨는데, 시간이 제한적이어서 며칠밖에 계시지 못하는 상황이라 부산영도임플란트의 상태를 확인한 후 맞춤형 지대주와 임시치아를 제작하여 장착한 후 다시 출국하셨습니다.
맞춤형 지대주는 개개인의 잇몸 형태에 맞게 정밀하게 제작되므로, 기성품과는 다르게 사용자 편의성과 최종 보철물의 안정성이 높아 파절 위험이 적습니다. 올바른 구강 위생 관리가 이루어진다면 반영구적으로 사용 가능합니다.

외국에 거주 중이신 분이라 전체적인 치료 기간은 길어졌지만 큰 어려움 없이 마무리되었고, 5개월 정도 임시치아 상태로 편하게 사용하신 후 최근 다시 한국으로 돌아오셔서 최종 보철물까지 마무리할 수 있었습니다.

수도치과에서는 임플란트 시술 전에 3D 컴퓨터 모의를 통한 맞춤형 가이드를 사용하여 네비게이션 임플란트 시술을 진행합니다. 환자의 상태에 맞춘 1:1 맞춤형 시스템으로, 정밀한 진단과 분석을 기반으로 모의 수술을 통해 신경, 혈관, 골조직 등을 파악하여 치료 계획을 수립합니다.
이를 통해 시술 중 발생할 수 있는 문제를 사전에 확인하여 오차를 최소화할 수 있습니다. 또한 필요한 만큼의 잇몸 절개를 통해 통증, 출혈, 붓기 등을 최소화할 수 있습니다.

본원에는 보건복지부 인증 전문의 치의학 박사 대표원장님을 비롯한 풍부한 임상 경험과 노하우를 보유하고 있습니다. 원장님은 디지털 장비를 활용한 정밀 분석을 통해 정품 임플란트 재료를 사용하여 직접 시술하시며, 이로써 신뢰할 수 있는 진료를 제공합니다.
또한, 기공 분야별로 전문 인력이 상주하여 견고하고 심미적인 맞춤형 보철물을 제작할 수 있으며, 이를 통해 치료 기간과 내원 횟수를 최소화하고자 노력하고 있습니다. 치아를 상실하여 임플란트 치료를 고민하고 계신다면 수도치과를 방문해 보시길 바랍니다!
* 모든 증례 사진은 의료법 제23조, 제56조에 의거하여
당사자자의 동의하에 게시하였습니다.
* 치료 사진은 모두 본원에서 치료한 환자분의 사진입니다.
* 치료 사진은 모두 동일인의 사진이며, 동일조건에서
촬영하였습니다.
* 개인의 차이에 따라 시술 및 수술 후
부작용이 발생할 수 있으며,
의료진과 충분한 상담을 받으시길 바랍니다.