부산영도치아교정 치아가 벌어지고 반대로 물려서 고민이에요

앞니 벌어짐이나 반대교합 등으로 인해 부산영도치아교정이 필요함에도 시간적, 비용적으로 부담이 되어 교정을 진행하지 못하고 있는 분들이 많이 계십니다.
특히 앞니는 심미적으로 중요한 부분을 차지하고 있기 때문에 콤플렉스가 될 수 있으며, 전체적인 문제가 아닌 부분적인 문제라면 부분교정도 가능할 수 있기 때문에 치과에 방문하여 정확한 본인의 상태를 진단을 받고 상담을 통하여 가능 여부에 대해 알아보는 것이 좋습니다.

부정교합의 종류
1급 부정교합 – 제1대구치(큰 어금니)를 기준으로 제1대구치 위치는 정상교합과 동일하지만, 다른 치아가 틀어지거나 비뚤어진 경우를 의미합니다.
ex)벌어진 앞니나 덧니가 있는 경우
2급 부정교합 – 아래 어금니가 윗 어금니보다 더 뒤쪽에 위치한 경우를 의미합니다.
ex)과도하게 위 앞니와 잇몸이 노출되어 상대적으로 입술이 후퇴되어 보이는 경우
3급 부정교합은 2급 부정교합과 반대로 윗 어금니가 아래 어금니 보다 더 뒷쪽에 위치한 경우를 의미합니다.
ex)반대교합이나 주걱턱의 경우

부분 교정이 가능한 경우
✔️일부 치아만 틀어지거나 돌출된 경우
✔️교합이 정상이지만 앞니 배열만 삐뚤한 경우
✔️면접, 결혼 등 단기간 개선이 필요한 경우

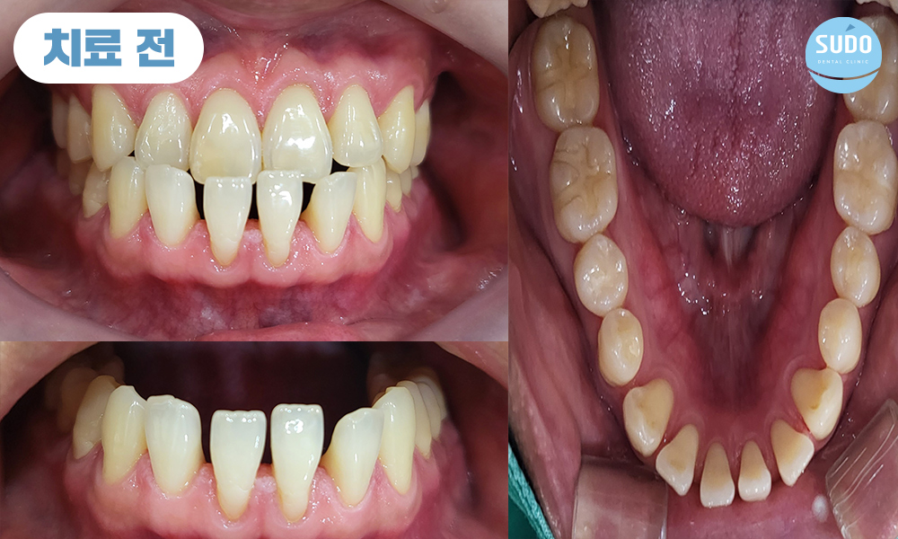
위 환자분은 40대 후반 남성분으로, 아래 앞니 벌어짐과 위쪽 앞니보다 아래쪽 앞니가 밖으로 나와 물리는 것 때문에 고민이라며 본 원에 내원해 주셨습니다. 환자분께서는 3급 부정교합으로, 이러한 고민을 해결하기 위해서는 교정이 진행되어야 했습니다.
전체적인 교정까지 할 필요는 없을 것 같아 상담을 통해 아래쪽만 부분 교정을 진행하기로 하셨습니다.

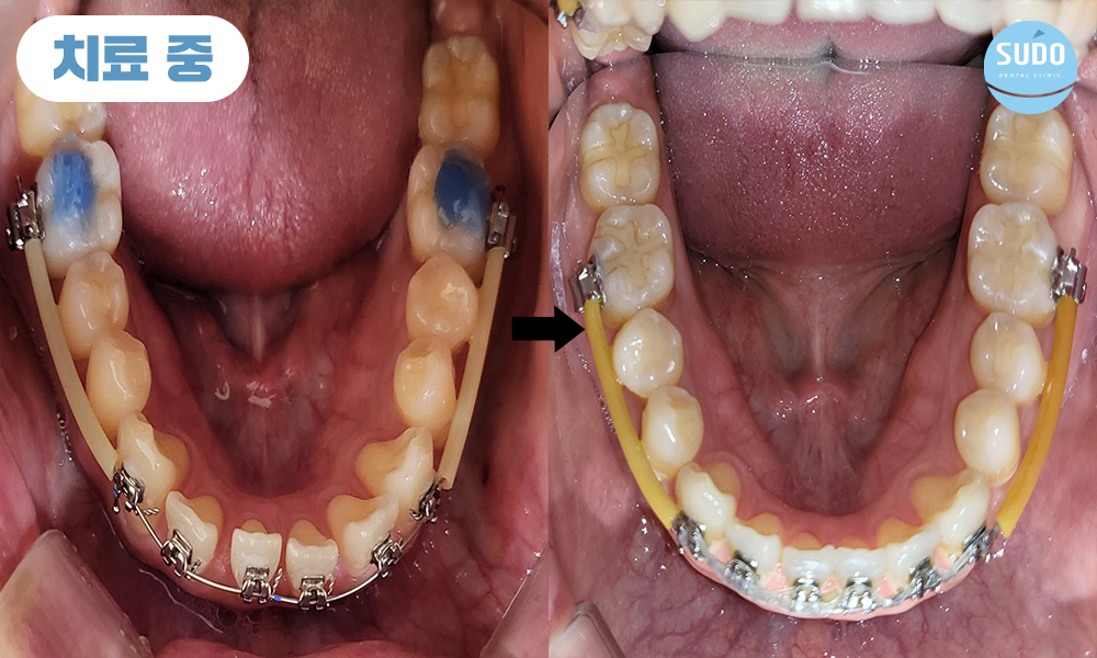
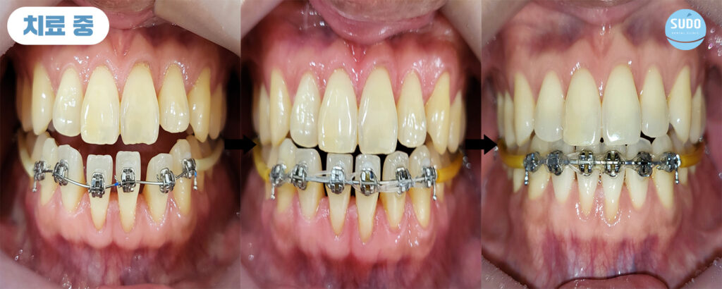
사진을 보시면 교정을 위해 송곳니를 포함한 앞니 6개 치아에 브라켓을 장착하고 고무줄을 걸어 준 모습을 볼 수 있는데요. 그 후 큰 어금니에 브라켓을 부착하여 앞니와 연결시키며 뒤로 당겨주었고, 이 힘으로 앞니의 빈공간을 모으면서 안쪽으로 이동시키기로 하였습니다.

23년 6월 장치를 치아에 붙이며 부산영도치아교정을 시작하였고, 그 후로 약 9개월 후인 24년 3월 교정을 마무리하였습니다.

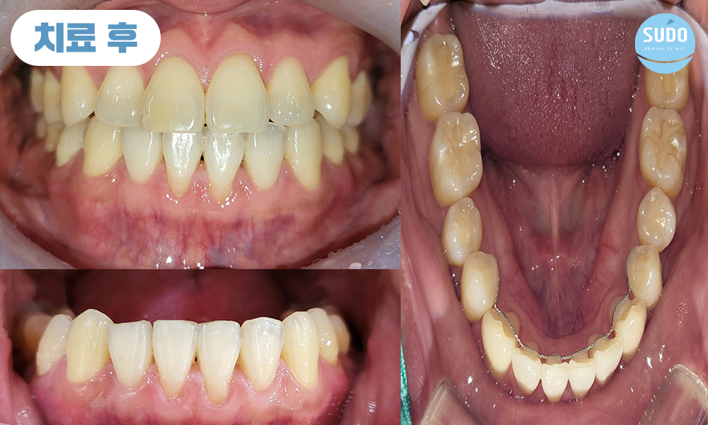
치아는 원래 성질로 돌아가려는 회귀성을 띄고 있기 때문에 교정 장치를 제거한 후에는 치아 안쪽에 리테이너를 부착하여 치아가 교정된 위치에서 유지될 수 있도록 해야 하며, 평소 악습관이 있었다면 고쳐주어야 합니다.

환자분께서는 평소 혀를 앞으로 내밀고 계시는 습관이 있으셨는데요. 이러한 습관을 고치지 못할 경우 교정 후에도 앞니가 다시 돌출될 수 있다고 설명 드리며 혀 습관 교정을 강조해 드렸습니다.

환자분께서 습관을 교정하는 과정도 잘 따라와 주셔서 결과도 좋았고 환자분께서도 만족스러워 하셨던 부분 교정 케이스였습니다.

부산영도치아교정후에는 치아 안쪽에 붙어있는 리테이너 주위로 칫솔이 잘 닿이지 않아 치석이 생기는 경우가 많기 때문에 리테이너 아래쪽으로는 얇은 치간칫솔을, 위쪽으로는 치실을 사용해 주시면 구강 관리에 도움이 됩니다.
또한 앞니로 단단한 음식을 자주 베어먹을 경우 장치가 탈락할 수 있으므로 주의가 필요하며, 가장 중요한 것은 모든 과정이 마무리 된 후에도 정기적으로 내원을 받는 것입니다.

본원은 풍부한 임상경험과 노하우를 겸비한 보건복지부 인증 통합치의학과 전문의 대표원장님께서 첫 내원부터 마무리까지 1:1 환자 중심의 진료를 시행하고 있으므로 중간에 주치의가 바뀌지 않을까 하는 걱정은 하지 않고 시작할 수 있습니다.

진료 시 사용하는 모든 기구와 도구는 고압 증기 멸균기로 소독하고 있으며, 여러 단계에 걸친 멸균 및 항균 소독 시스템, 일회용 진료품 1회 사용 후 폐기, 치과 전용 살균수 사용 등 안심 진료 시스템을 갖추고 있어 편안히 내원하실 수 있습니다.
앞니가 벌어지거나 또는 반대 교합으로 인해 고민하고 있다면 간단하게 진행 가능한 부산영도치아교정을 진행하는 수도치과로 내원해 주시길 바랍니다.